Call 715-425-6732
Toggle navigation
Home
About
About Us
Meet the Doctors
Meet Our Staff
Office Tour
Services
Patients
Pay Your Bill
New Patients
Testimonials
Financial Information
Patient Feedback
Before & Afters
Blog
Links
Contact Us
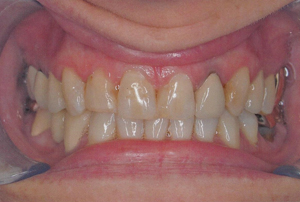
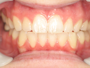
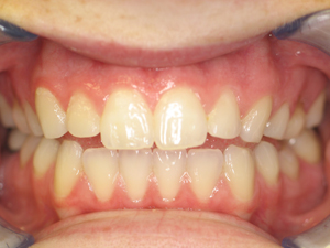
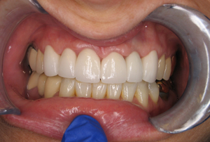
Before & Afters
Close
Font Resize
A-
A+
Keyboard navigation
Readable Font
Underline links
Highlight Links
Clear cookies
Images Greyscale
Invert Colors
Remove Animations
Remove styles
Lights Off
Close
Accessibility by WAH
About
Before & Afters
Contacts
Financial Information
Helpful Links
Home
Meet Our Staff
Meet the Doctors
Membership
New Patients
News
Office Tour
Patient Feedback
Patients
Privacy Policy
Request an Appointment
Services
Terms and Conditions
Test Staff Page
Testimonials